Regular eye examinations are an important part of maintaining your vision and eye health. Many eye diseases present no obvious symptoms, leaving people unaware that a problem exists.
At a comprehensive eye exam your visual abilities are evaluated and appropriate eyewear, prescription sunglasses and/or contact lenses recommended. The exam will check for eye disease, eye indicators of poor general health such as diabetes and the potential for future eye disorders.
Technology is rapidly changing the eye care industry. We now have access to an amazing array of instruments which allow us to perform advanced testing and see layers of the retina in-situ.
At Eyedeal Optometrist we are proud to provide our patients with the latest technologies for earlier detection of eye diseases.
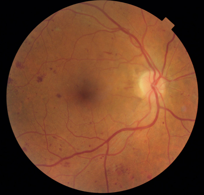
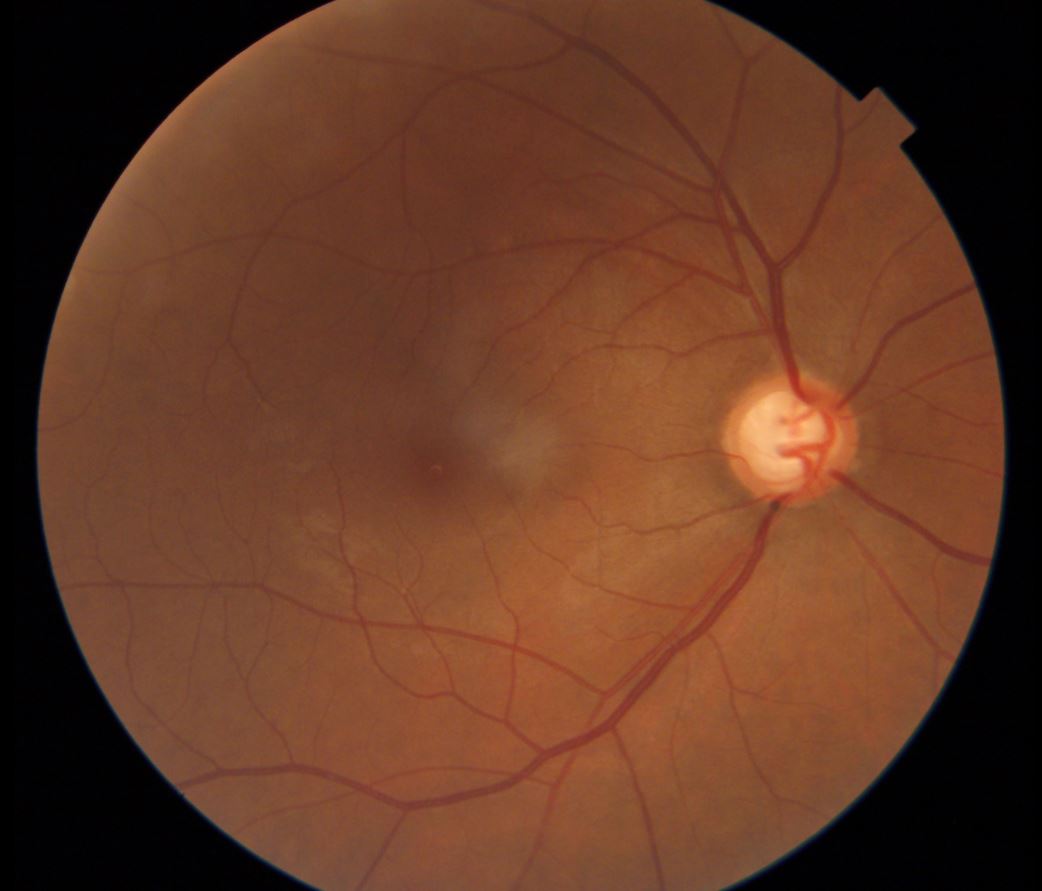
Macular degeneration (AMD) is a disease that affects the central vision of people over 50 years of age. It is the leading cause of visual impairment in Australia.
Diabetes can affect the small blood vessels at the back of the eye, leading to bleeding and scarring in the retina and possible irreversible vision loss.