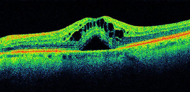
Diabetes is a common condition which effects the body’s ability to store sugar. As well as effecting other organs of the body it can also damage the eyes, causing vision loss and can eventually lead to blindness if left untreated.

The main eye problems associated with diabetes are focussing problems, cataracts, glaucoma and diabetic retinopathy. Everyone with diabetes should have a yearly eye examination to monitor any changes to the eyes. The sooner any diabetic changes are picked up the better the prognosis for vision.

Our diabetes package includes a comprehensive eye examdilated pupil examinationvisual field test and extensive OCT scans of the optic nerve, macula and peripheral retina.

Make an appointment online!
07 3399 4848 - Call us for an appointment

Eyedeal Optometrist Pty Ltd - Copyright © 2006 2017

Designed & Developed by ...